집 근처 다니던 산주인과에서 임신성 당뇨검사가 있었다.
이번에는 혼자 운전하고 감.
허리가 많이 아프지만 엉거주춤한 자세로 걸을 수 있고 시간은 걸리지만 앉았다 일어서는 것도 가능하니
한시간 넘게 걸리는 임당검사에 남편더러 같이 가자고 하기가 좀 미안했다.
어차피 병원 안에 들어가지도 못하니 기사 노릇만 하는거라..
오늘은 정기 검진과 함께 당뇨검사를 하는 거라서
예진할 때 검사 시약을 받아 먹고 한시간 후에 임상병리실로 가서 혈액검사를 한다.
당 검사도 하고 빈혈 검사도 같이 진행하는 것 같다.
허리 때문에 한시간 동안 앉아있는건 아무래도 너무 무리일 것 같아서 혹시 누워있을 수 있는 곳이 있냐고 물으니 코로나 검사(PCR)실에 누워있을 수 있을 것 같다고 했다.
검사하고 항상 소독하고 관리하니 걱정하지 말고 이용해도 된다고 했다.
침대가 없다면 그냥 소파에 드러누울 생각이었기 때문에 뭘 가릴 처지가 아니었다.
감사하다 말하고 50분 정도 누워있었다. 그 사이에 3명이 검사를 받고 갔다.
임상병리실에서 피 뽑고 당 검사 수치를 보니 110.
평소 같으면 경계선 정도겠지만 임신 중이니 정상범위라고 볼 수 있겠다.
그리고 왜 그런지- 또 빈혈 수치가 낮게 나와서(9.3) 철분제를 처방해주겠다고 했다.
안그래도 요 며칠 철분제를 깜박해서 그런가하고 물어보니 며칠 안 먹었다고 그렇진 않다고한다.
쨌든 원래 먹는 양+처방해준 양을 더 먹으라고 했다.
워낙 집에서 기본으로 임산부 종합영양제에 철분 27mg + now food 철분제 36mg을 먹고 있다가 별이 보이길래 36mg를 두알씩 먹고 있었는데 거기에 더 먹으라고..? 싶어서 일단 그냥 집에 왔다. 우선 먹던대로 좀 먹어보고 그래도 별이 보이거나 두통이 오면 먹어야겠다.
끼끼는 잘 크고 있는 중이고- 1kg을 넘었다.
또 한고비 넘겼다. ㅎ
얼굴은 여전히 보여줄 맘은 없으신가보다.
고개를 처박고 돌아누울 생각을 안 한다.
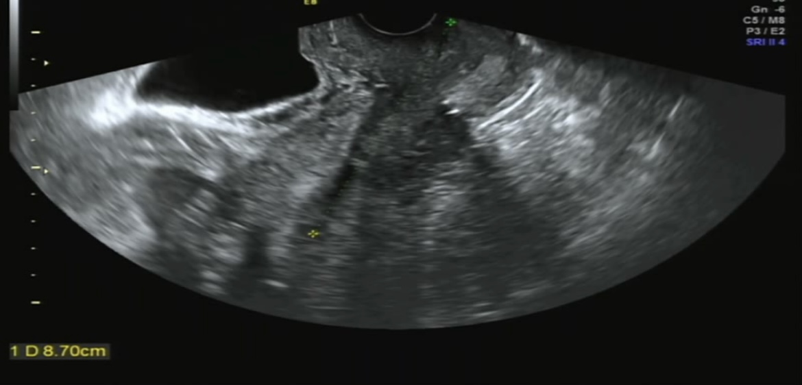
그리고 경부 길이 한번 재봤는데-

???????
8.7cm????
길이 재는 방식이 다른건가??
이게 가능한 길인가요..?
ㅎㅎ
길다고 하니 한결 안심되긴 했지만
뭔가 의심스러운 수치였다..
나오면서 허리에 대해 물으니 역시나, 견디는 수밖에는 없다고.. 혹시 많이 아프면 타이레놀 처방해 주겠다고..
ㅠㅁ ㅠ
허리 통증 때문에 제왕절개를 할까 생각한다고, 선택제왕은 몇주부터 가능한지 물으니 38주라고 했다.
예진실에선 37주라고 했는데.. 의사가 맞겠지..?
지금 시점에서 이야기할 것은 아니니 때 되면 그때가서 이야기하자고 하길래 알겠다고 하고 진료실을 나왔다.
임당검사라고 하니 어제 저녁부터 뭔가 달달한게 당겨서
조각케이크를 시켜먹을까 하고 배달의 민족에서 열심히 디저트를 검색했는데-
괜히 이벤트를 더 늘리고 싶지 않아서 꾹 참았었는데-
집에 돌아와 밥 먹고 그게 또 떠올라 바로 주문. ㅋㅋㅋ

커피는 집에서 내려 연유를 타고,
금액 맞추느라 추가로 시킨 옥수수빵과 커스타드 크로칸 슈를 한입씩 먹어보고 밀크 카라멜 치즈케이크를 한조각 클리어!!!!
뭐… 아는 맛들이라 먹고 나면 꼭 후회를 한다.
그냥 집에서 내린 커피에 연유가 제일 맛있었음. ㅋㅋㅋ
허무-
쨌든 내 몸뚱이는 힘들더라도 끼끼는 잘 크고 있다고 하니 다행이다!
잘 견뎌보자 아들!
'끼끼' 카테고리의 다른 글
28주 임신 중 허리 통증 극복하기 프로젝트!! (0) | 2022.02.08 |
---|---|
28주 (0) | 2022.02.07 |
임신 중 허리 통증 (0) | 2022.01.23 |
100일 남았다. (0) | 2022.01.20 |
동탄제일병원 퇴원 후 2번째 진료 + 데이트 (0) | 2022.01.14 |
댓글